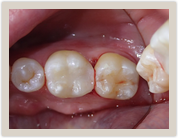
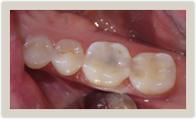
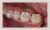
Composite Fillings
![]() |
![]() |
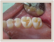
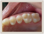
| Before Photo | After Photo |
![]() |
![]() |
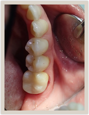
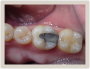
| Before Photo | After Photo |
![]() |
![]() |
| Before Photo | After Photo |
![]() |
![]() |
| Before Photo | After Photo |
![]() |
![]() |
| Before Photo | After Photo |
![]() |
![]() |
| Before Photo | After Photo |














